د. مسلم منصور
  • الصفحة الرئيسية
  • عن الطبيب
    • تعرف على الطبيب
    • معرض أعمال الطبيب
    • تواصل مع الطبيب
    • المدونة الطبية
  • تجميل الاسنان
  • تركيبات الاسنان
  • علاج العصب
  • التعقيم في العيادة
د. مسلم منصور
  • الصفحة الرئيسية
  • عن الطبيب
    • تعرف على الطبيب
    • معرض أعمال الطبيب
    • تواصل مع الطبيب
    • المدونة الطبية
  • تجميل الاسنان
  • تركيبات الاسنان
  • علاج العصب
  • التعقيم في العيادة
فيسبوكتويترانستغرامموقع YouTube
حقوق النشر© 2026

التحديثات

المقالات التحديثات
انواع تسوس الاسنان

تعرف على أخطر أنواع تسوس الأسنان وكيفية علاجها

Avatar for adminAdmin14 ديسمبر، 2024
أغلبنا يعاني من مشاكل تسوس الاسنان ولكن هناك أنواع ودرجات من التسوس، تعرف معنا في هذا المقال على أنواع تسوس ... قراءة المزيد
جهاز البروفي جت

(4) من اهم استخدامات جهاز البروفي جت، وفوائده

Avatar for adminAdmin14 ديسمبر، 2024
يوجد العديد من الطرق لتنظيف الاسنان التي تجعل عملية التنظيف أكثر فاعلية، تعرف معنا في هذا المقال على جهاز البروفي ... قراءة المزيد
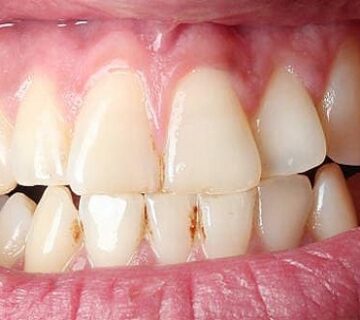
البلاك والجير222666 360x320

الفرق بين طبقة البلاك والجير وكيف اتخلص منهم

Avatar for adminAdmin10 ديسمبر، 2024
إذا كنت مهتماً بتجميل أسنانك أو تصحيحها فلا بد أنك سمعت بالعديد من الخيارات، تعرف معنا في هذا المقال على ... قراءة المزيد
الحشوات الزجاجية للأسنان

أهم ميزات عدسات الايماكس وطرق تركيبها

Avatar for adminAdmin7 ديسمبر، 2024
إذا كنت مهتماً بتجميل أسنانك أو تصحيحها فلا بد أنك سمعت بالعديد من الخيارات، تعرف معنا في هذا المقال على ... قراءة المزيد

Posts pagination

1 … 4 5 6 … 8
Logo
جدة – حي الروضة شارع الامير سلطان تقاطع شارع الكيال – برج المرجانة